MENU
検索
とじる
e-learning for EUS
EUS channel
EUSchannelの目次へ⇗
プロフィール
プライバシーポリシー
超音波内視鏡(EUS)の患者さんへの説明について
English ver. Convex EUS -Tips of operation-
EUStube library
Fire channel:資産形成
ホーム
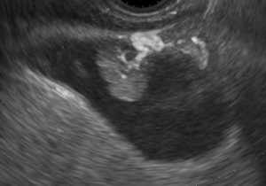
胆嚢癌?
2021年10月11日
2021年10月11日
71
views
Hosshi
コメントを残す
コメントをキャンセル
メールアドレスが公開されることはありません。
※
が付いている欄は必須項目です
コメント
※
名前
メール
サイト
Δ